Открытый остеосинтез при переломе лодыжек
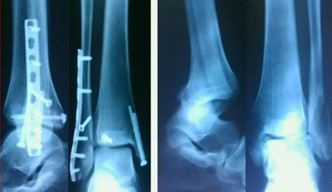
Открытый остеосинтез при переломе лодыжек — это хирургическая операция, при которой хирург через разрез обнажает костные отломки, сопоставляет их в правильном положении и фиксирует с помощью металлических конструкций, таких как пластины, винты или штифты.
Эта процедура необходима при сложных переломах, когда другие методы лечения неэффективны, и позволяет обеспечить надежное сращение кости.
Зачем проводится операция?
Открытый остеосинтез при переломе лодыжек проводится для точного сопоставления и надежной фиксации костных отломков с помощью металлоконструкций (пластины, винты), что особенно необходимо при оскольчатых, смещенных или открытых переломах.
Операция позволяет восстановить правильную анатомическую форму кости, что ускоряет заживление, улучшает прогноз и сокращает реабилитационный период, а также предотвращает развитие осложнений.
Цена операции
хирургическое лечение:
— 130 000 ₽
первичная консультация
▫ Красноярск — 3000 руб
▫ Ачинск — 3 000 руб
В стоимость операции включено:
Необходимые анализы:
Причины для операции:
Преимущества метода:
После операции
Послеоперационный период после корригирующей остеотомии голени включает пребывание в стационаре 3-7 дней, медикаментозное лечение, использование костылей и постепенное увеличение нагрузки в течение 1.5-3 месяцев.
Полное восстановление может занять до полугода и более, с индивидуальным подбором физиотерапии и лечебной физкультуры для ускорения процесса.



