Открытый остеосинтез надколенника

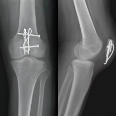
Открытый остеосинтез надколенника — это хирургическая операция для лечения переломов надколенника, при которой делается разрез, костные отломки сопоставляются и фиксируются металлическими конструкциями (спицами, проволокой, винтами), а затем рана закрывается.

Цель — восстановить анатомически правильное положение кости, обеспечить ее надежную фиксацию и ускорить сращение для скорейшего восстановления функции коленного сустава.

Зачем проводится операция?

Открытый остеосинтез надколенника проводится для лечения переломов коленной чашечки, когда консервативное лечение невозможно или неэффективно. Цель операции — восстановить целостность суставной поверхности и надежно зафиксировать костные отломки, что позволяет ускорить реабилитацию, восстановить функцию сустава и предотвратить осложнения.

Показаниями для операции являются смещенные, оскольчатые, открытые и отрывные переломы.

Цена открытого остеосинтеза надколенника

хирургическое лечение:
— 97 000 ₽ (без стоимости импланта)

первичная консультация
▫ Красноярск — 3000 руб
▫ Ачинск — 3 000 руб

В стоимость операции включено:

операция
анестезия
перевязки и консультации после операции

Необходимые анализы:

возбудитель сифилиса (РМП/RW) — 10 дней;
вирус гепатита B и C, ВИЧ — 3 месяца;
общий анализ мочи — 10 дней;
развернутый анализ крови + СОЭ — 10 дней;
биохимический анализ крови (АЛТ, АСТ, билирубин, белок общий, глюкоза, мочевина, креатинин, калий, натрий) — 10 дней;
гемостаз (фибриноген, протромбин, ПТВ, АЧТВ, МНО) — 10 дней;
группа крови и резус фактор — бессрочно.
Флюорография и ЭКГ

Причины для операции:

Открытые переломы: когда кожные покровы, мышцы или сосуды повреждены, существует высокий риск инфицирования, что требует немедленного хирургического вмешательства.
Оскольчатые и многофрагментарные переломы: переломы с большим количеством мелких костных осколков, которые не могут самостоятельно срастись без фиксации.
Смещение костных отломков: при смещении фрагментов более чем на 3 мм или при наличии нестабильных переломов, склонных к смещению.
Отрыв полюсов надколенника: отрыв верхнего или нижнего участка надколенника, требующий его точного сопоставления.
Повреждение суставной поверхности: переломы, которые затрагивают суставную поверхность колена, так как это может привести к неправильному сращению и нарушению функции сустава.
Неэффективность консервативной терапии: если консервативные методы лечения (например, наложение гипсовой повязки) оказались безуспешными, и требуется более надежная фиксация.

Преимущества метода:

Надежная фиксация: хирургическое вмешательство позволяет прочно зафиксировать костные отломки в анатомически правильном положении с помощью специальных металлических конструкций (проволока, спицы, пластины), предотвращая их вторичное смещение.
Ранняя реабилитация: стабильная фиксация дает возможность начать ранние движения в коленном суставе вскоре после операции.
Предотвращение осложнений: ранняя мобилизация снижает риск развития контрактур (ограничения движений) и гипотрофии мышц, а также других осложнений, связанных с длительной неподвижностью, таких как тромбообразование.
Быстрое восстановление функции: метод способствует более быстрому сращению кости и восстановлению двигательной активности ноги, позволяя быстрее вернуться к привычному образу жизни и спортивным тренировкам.
Восстановление анатомии: операция позволяет точно сопоставить фрагменты кости, восстанавливая правильную анатомию сустава и предотвращая деформации.

Избавимся от болевых ощущений

Уберем дискомфорт

Вылечим все последствия травм

Восстановим подвижность

После операции

Послеоперационный период после открытого остеосинтеза надколенника включает 3 основных этапа: ранний (первые 6 недель), ближайший (до 3 месяцев) и поздний (до 6-12 месяцев).

На ранних этапах иммобилизация колена и исключение нагрузки являются ключевыми, а реабилитация включает в себя лечебную гимнастику, массаж и физиотерапию после снятия фиксации.

Полная нагрузка на ногу разрешается только после подтверждения сращения перелома на рентгеновских снимках.

Суворов Максим Сергеевич

травматолог-ортопед, хирург

Врач высшей категории.
Стаж с 2006 г.

Отзывы моих пациентов