Артродез стопы и голеностопного сустава
Артродез стопы и голеностопного сустава — это хирургическая операция по искусственному сращиванию суставов стопы или голеностопного сустава с целью полного обездвиживания. Цель операции — устранить боль, восстановить опороспособность стопы и стабилизировать её при неэффективности консервативного лечения, тяжелых травмах, артрозе или других заболеваниях.
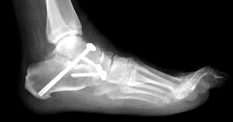
В ходе процедуры удаляются хрящевые поверхности суставов, и кости фиксируются в анатомически выгодном положении металлическими конструкциями, такими как винты или пластины.
Зачем проводится операция?
Артродез стопы и голеностопного сустава проводится для обездвиживания и сращивания костей, чтобы устранить хроническую боль, восстановить опорную функцию конечности и исправить деформации, возникающие из-за тяжелых травм, артроза, артрита или других заболеваний.
Операция является крайней мерой, применяемой, когда другие методы лечения неэффективны или невозможны.
Цена артродеза стопы и голеностопного сустава
хирургическое лечение:
— 137 000 ₽
первичная консультация
▫ Красноярск — 3000 руб
▫ Ачинск — 3 000 руб
В стоимость операции включено:
Необходимые анализы:
Причины для операции:
Преимущества метода:
После операции
После реконструкции ложного сустава большеберцовой кости послеоперационный период включает иммобилизацию, медикаментозное лечение, физиотерапию, лечебную физкультуру и постепенное увеличение нагрузки на конечность.
Длительность восстановления варьируется от нескольких месяцев до полугода и более, в зависимости от сложности случая, возраста пациента и соблюдения рекомендаций врача, включая отказ от вредных привычек и коррекцию сопутствующих заболеваний.



